Различные образования в печени хорошо видны на УЗИ даже при маленьких размерах. Это позволяет выявить заболевания на начальных стадиях, когда они лучше всего поддаются лечению.
Показания к исследованию
Ультразвуковая диагностика печени проводится, когда в этом есть необходимость. Определить наличие такой потребности позволяют симптомы, указывающие на печеночную патологию:
- тяжесть или боли в правом подреберье;
- тошнота, рвота, отрыжка;
- горечь во рту, постоянный налет на языке;
- желтуха;
- темная моча и светлый кал;
- увеличение печеночных показателей в крови;
- выявление вирусного гепатита.
УЗИ позволяет подтвердить диагноз у 82% пациентов — это хороший результат.
Врачи отмечают, что на УЗИ печени можно выявить различные образования, которые могут быть как доброкачественными, так и злокачественными. К наиболее распространённым доброкачественным образованиям относятся гемангиомы и аденомы. Гемангиомы выглядят как гиперэхогенные образования с четкими границами, тогда как аденомы могут иметь более неоднородную структуру. Злокачественные опухоли, такие как гепатоцеллюлярная карцинома, часто проявляются как гипоэхогенные участки с нечеткими контурами и могут сопровождаться изменениями в структуре печени. Врачи подчеркивают важность комплексного подхода к диагностике, включая анализы и дополнительные методы визуализации, чтобы точно определить природу образования и назначить соответствующее лечение.

Типы образований
С помощью УЗИ врач выявляет очаговые или диффузные образования печеночной ткани:
- кисты;
- абсцессы;
- опухоли;
- фиброз.
Отличить их друг от друга позволяют особенности и своства ультразвука. Изоэхогенные образования в печени — понять, что это такое, позволяет знание об особенностях тканей организма.
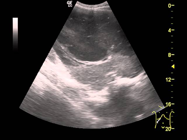
В зависимости от характера клеток и структуры образования ультразвуковые волны отражаются с разной скоростью. Поэтому изображение на экране компьютера будет светлым или темным. Это свойство называется эхогенностью, а образования — гипоэхогенными, анэхогенными или гиперэхогенными.
Изоэхогенные участки — соответствующие нормальной печеночной структуре. Гипоэхогенность возникает, когда почти все волны поглощаются очагом. Гиперэхогенность соответствует более сильному отражению звука. Анэхогенные участки поглощают звук полностью, он от них не отражается.
Доброкачественные
Признаки доброкачественных образований на УЗИ — отграничены капсулой, медленно растут и не дают метастазов. Возникают из-за аномалий развития, нарушений обмена веществ, паразитарных заболеваний.
- Киста — гипоэхогенное полостное образование с плотной стенкой. Внутри содержится жидкость, различные включения. Киста формируется из желчных протоков или представляет собой скопление паразитов, покрытых капсулой. Для паразитарных кист характерна множественность — в одной левой доле печени их может быть до 5 штук.
- Гемангиома. Сосудистая опухоль, состоит из множества расширенных капилляров. Этим объясняется, как выглядит гемангиома печени на УЗИ — очаг с неровными краями, неоднородной структурой.
- Аденома. Это образование состоит из железистых клеток, патологически расширенных и заполненных слизью. Обычно бывает эхогенным, то есть не отличается от здоровой печеночной ткани.
- Липома — опухоль печени, состоящая из жировой ткани. Обычно одиночная, покрыта капсулой. Уплотнение на УЗИ имеет гиперэхогенный характер.
- Абсцесс. Гнойное воспаление, отграниченное капсулой. Имеет округлую форму, уровень жидкости внутри, гипоэхогенно.
- Гематома — скопление излившейся крови, на УЗИ представлено гипоэхогенным участком округлой формы.
Доброкачественные изменения печени менее опасны, чем злокачественные, но тоже вызывают серьезные осложнения.
На УЗИ печени можно увидеть различные образования, которые могут вызывать у пациентов множество вопросов и опасений. Многие люди отмечают, что при первом взгляде на экран аппарата УЗИ они не понимают, что именно изображено. Врач объясняет, что образования могут быть как доброкачественными, так и злокачественными. Наиболее распространённые из них — это гемангиомы, аденомы и кисты. Гемангиомы выглядят как яркие, хорошо очерченные участки, а аденомы могут иметь более неоднородную структуру. Кисты, как правило, представляют собой заполненные жидкостью образования. Пациенты часто делятся своими переживаниями о том, что увиденное на экране может быть признаком серьёзных заболеваний, однако врачи подчеркивают, что не все образования требуют немедленного вмешательства. Важно помнить, что для точной диагностики и назначения лечения необходимо учитывать не только результаты УЗИ, но и клинические проявления, а также дополнительные исследования.

Злокачественные
Отличительные признаки злокачественных новообразований — прорастание в ткань печени, наличие метастазов.
Злокачественно преображенные клетки имеют большую плотность, поэтому обладают повышенной эхогенностью относительно здоровой части печени. Очаги с неровными контурами, от нескольких миллиметров до десятков сантиметров в диаметре.
Диффузные
При циррозе гепатоциты погибают, а вместо них образуется соединительная ткань. Диффузные изменения печени на УЗИ отличаются неоднородностью структуры, рядом располагаются гипоэхогенные и гиперэхогенные участки. Цирротические изменения поражают весь орган сразу.
В видео смотрите, как на мониторе аппарата УЗИ выглядят патологические образования:

Образования печени выявляются на УЗИ часто случайно, при обследовании по другим поводам. Прицельная диагностика показана, когда есть уже выраженная симптоматика. Ультразвук позволяет обнаружить изменения размером 2-3 мм, что улучшает прогноз на выздоровление.
Вопрос-ответ
Какие могут быть образования на печени?
Существуют такие доброкачественные образования печени, как локальная гиперплазия, аденома. Кисты могут носить паразитарный характер. Среди злокачественных образований встречаются рак, происходящий из клеток печени или желчных протоков, а также вторичные метастазы.
Какие бывают новообразования в печени?
В 90% случаев диагностируется гемангиома печени, реже – гепатоцеллюлярная аденома, липома, фиброма, лимфангиома и смешанные опухоли – тератомы или гамартомы. К доброкачественным опухолям печени также относят кистозные образования: ретенционные, дермоидные кисты, поликистоз.
Что означает пятно на печени на УЗИ?
Гемангиома печени, часто выявляемая на УЗИ, является доброкачественной опухолью, происходящей из кровеносных сосудов. Большинство случаев не требует лечения и не представляет угрозы для жизни. Важно знать, что при обнаружении такой находки, особенно без симптомов, не стоит паниковать.
Советы
СОВЕТ №1
Перед проведением УЗИ печени обязательно проконсультируйтесь с врачом. Он поможет определить, какие именно исследования необходимы в вашем случае и какие симптомы стоит обсудить.
СОВЕТ №2
Обратите внимание на подготовку к УЗИ. За день до процедуры рекомендуется избегать жирной пищи и газированных напитков, чтобы снизить количество газов в кишечнике, что может улучшить качество изображения.
СОВЕТ №3
Не стесняйтесь задавать вопросы врачу во время и после УЗИ. Понимание того, что именно вы видите на экране, и какие образования могут быть обнаружены, поможет вам лучше ориентироваться в своем здоровье.
СОВЕТ №4
После получения результатов УЗИ обязательно обсудите их с врачом. Некоторые образования могут требовать дальнейшего наблюдения или дополнительных исследований, поэтому важно следить за состоянием печени.









