Ультразвуковое исследование мошонки – это безопасный, безболезненный, неинвазивный метод исследования. УЗИ визуализирует органы мошонки: яички у мужчин, придатки, семенные канатики. Обследование назначают при подозрении на заболевания, для выяснения причин бесплодия, после травм.
Что такое УЗИ мошонки и для чего его назначают
Ультразвуковое исследование – это метод исследования, основанный на свойстве ультразвука отражаться от тканей. Ткани организма имеют разную плотность и по-разному отражают ультразвуковые лучи. Это позволяет получить картину о структуре и характеристиках внутренних органов.
УЗИ проводят с помощью специального датчика, сигналы от которого поступают на монитор компьютера, а врач анализирует и фиксирует полученные данные. После этого выдается заключение.
Показания к УЗИ у взрослых:
- подозрение на заболевания органов мошонки: воспалительные, сосудистые, эндокринные, онкологические;
- после травм паховой области;
- для оценки состояния грыж;
- для поиска причин бесплодия;
- при плохих результатах спермограммы;
- появление крови в сперме;
- при изменении размеров (увеличение, уменьшение, деформация), цвета, плотности, появлении болей, новообразований;
- если отсутствует одно или оба яичка;
- при проблемах с эрекцией;
- послеоперационный контроль.
Показания к УЗИ мошонки у ребенка те же, за исключением «взрослых» проблем (бесплодие, эрекция и т. д.). Дополнительные показания:
- раннее или позднее половое созревание;
- неопущение яичка в типичное место.
Подробный доклад про ультразвуковое исследование органов мошонки на видео:

УЗИ органов мошонки является важным диагностическим методом, который позволяет врачам оценить состояние яичек и окружающих тканей. Подготовка к процедуре обычно не требует специальных мер, однако рекомендуется избегать интенсивных физических нагрузок перед исследованием. Во время УЗИ пациент располагается на спине, а врач наносит гель на область мошонки для улучшения контакта с датчиком. Процедура безболезненная и занимает всего 15-30 минут.
Результаты УЗИ помогают выявить различные патологии, такие как варикоцеле, кисты, опухоли или воспалительные процессы. Врачи подчеркивают, что регулярные обследования могут способствовать раннему выявлению заболеваний и повышению эффективности лечения. Таким образом, УЗИ органов мошонки является важным инструментом в урологии, позволяющим поддерживать здоровье мужчин.
Ультразвуковое исследование с допплером
Более подробные результаты можно получить при УЗИ органов мошонки с дополнительной функцией – допплерографией. УЗИ органов и сосудов мошонки с ЦДК позволяет выявить не только заболевание яичек, придатков, семенных канатиков, но и патологии сосудов.
УЗДГ оценивает сосуды мошонки, их характеристики и особенности анатомического строения:
- объем кровоснабжения;
- скорость кровотока;
- состояние сосудистой стенки;
- форма и структура сосудов.
Как подготовиться к УЗИ мошонки
Обязательно перед процедурой нужно провести туалет половых органов, надеть чистое белье.
Особой подготовки перед УЗИ мошонки у взрослых и подростков не требуется. А вот УЗИ мошонки у маленьких детей должно проводиться после психологической подготовки. Ребенку нужно объяснить, как будет проходить процедура, рассказать ее цель, ответить на тревожащие малыша вопросы. Во время процедуры родители должны находиться рядом.
УЗИ органов мошонки – это важная процедура, которая позволяет диагностировать различные заболевания и патологии. Многие мужчины отмечают, что подготовка к исследованию не требует особых усилий: достаточно прийти на УЗИ с пустым мочевым пузырем. Это помогает улучшить качество изображения. Во время процедуры пациенты чувствуют себя комфортно, так как она безболезненная и занимает всего 15-20 минут. Врачи используют специальный гель для лучшего скольжения датчика, что также способствует удобству.
Результаты УЗИ обычно готовы в течение нескольких дней. Мужчины отмечают, что благодаря этому исследованию можно своевременно выявить такие проблемы, как варикоцеле, кисты или опухоли. Полученные данные помогают врачам назначить правильное лечение или наблюдение. Многие пациенты подчеркивают, что регулярные обследования помогают сохранить здоровье и избежать серьезных осложнений в будущем.
Как проводится исследование
УЗИ мошонки проводится в положении лежа на спине с раздвинутыми в стороны ногами. Половой орган нужно расположить на животе, чтобы он не препятствовал исследованию.
На кожу наносят гель комнатной температуры (не холодный). Затем поочередно осматривают каждое яичко во всех проекциях. Последним этапом проводят допплеровское исследование сосудов – УЗДГ.
Как быстро делают УЗИ мошонки зависит от конкретного случая. При профилактическом осмотре или незначительных отклонениях от нормы процедура занимает не более 15 минут. При серьезных патологиях или затруднении визуализации длительность может достигать получаса.
Приглашаем посмотреть видео о том, как выглядит УЗИ мошонки на экране монитора:

Расшифровка результатов
По завершению исследования выдается заключение. В нем содержится подробное описание исследуемых органов. Что показывает УЗИ мошонки и яичек в норме:
- Тестикулы. Яички имеют ровные очертания, однородную эхоструктуру. Длина от 2,5 см до 6 см, ширина от 1,5 см до 3 см. Новообразования в яичках в норме не обнаруживаются.
- Мошонка. Стенка имеет толщину не более 0,8 см. Между стенкой мошонки и яичком может определяться до 2 мл невоспалительной жидкости без патологических примесей.
- Придатки яичка (головка, тело, хвост). Здоровые тело и хвост не видны при УЗИ, а головка имеет длину 1–1,5 см.
- Сосуды при УЗИ с допплерографией. Определяются не расширенные артерии и вены с хорошим кровотоком.
Признаки патологии
Если говорить в общих чертах, то увеличение размеров органов, неоднородность структуры, появление жидкости, свидетельствуют о признаках воспаления. Для воспалительных процессов еще характерна боль при прикосновении датчиком.
Объемные образования могут быть как доброкачественными, так и злокачественными опухолями – требуют дифференциальной диагностики и дополнительных обследований.
Возможные заболевания, выявляемые при УЗИ:
- Аномалии развития – отсутствие тестикулов (одного или обоих) или крипторхизм (яичко в нетипичном месте). Изменения видны при исследовании по наличию или отсутствию яичек.
- Кисты яичек, придатков – жидкостные образования. Кисты могут располагаться на любом органе, иметь разные размеры. При УЗИ определяются как объемные округлые образования с четкими контурами, содержащие жидкость внутри, иногда имеются перегородки. Кисты могут сдавливать придатки, приводя к бесплодию.
- Эпидидимит – воспаление придатков яичка. Эхоструктура неоднородна, эхогенность снижена. УЗ-признаки увеличения размеров головки, визуализируются тело и хвост, скапливается жидкость.
- Водянка яичка – гидроцеле. Определяется при выявлении увеличенных размеров мошонки, анэхогенности, скоплении большого объема жидкости.
- Пиоцеле – нагноение яичка при инфекционных процессах. Визуализируется увеличение органов с изменением структуры, признаки гнойного содержимого.
- Варикоцеле – расширение сосудов семенного канатика свыше 0,3 см. Структура при этом анэхогенна. Положительная проба Вальсальвы подтверждает диагноз (обратный ток крови в венах семенного канатика).
- Новообразование. Определить добро- или злокачественная природа опухоли по УЗИ невозможно. Можно лишь увидеть УЗ-признаки объемного образования, опухоль имеет неправильную форму. Эхогенность снижена, структура неоднородна, определяется свободная жидкость, кальцинаты.
- Абсцесс придатка. Визуализируется как новообразование с УЗ-признаками воспаления: увеличенный размер, округлое образование с гнойным содержимым, сниженная эхогенность.
- Перекрут яичка. Определить перекрут можно при УЗДГ, когда обнаруживается перекрытие кровотока в сосудах.
- Травма области паха. Во время обследования выявляется измененная структура органов с неровными контурами. Эхогенность неоднородная. Возможно скопление жидкости с примесью крови.
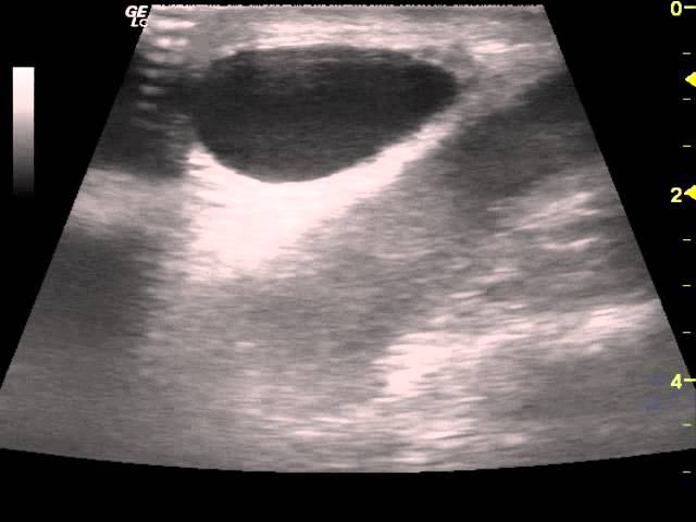
Пример патологии на фото:
Стоимость услуги
Стоимость ультразвукового исследования органов мошонки начинается от 300–400 рублей. Средняя цена колеблется в пределах 1000 рублей.
Где сделать УЗИ мошонки, вы можете выбрать сами в зависимости от материальных возможностей. Услугу предоставляют как частные, так и бюджетные медучреждения.
УЗИ – первый метод инструментального исследования, к которому прибегают врачи при поиске причин болей в паховой области, изменениях функций или структуры органов. Возможны дополнительные методы диагностики. Это определяет лечащий врач.
Еще раз кратко про исследование ультразвуком расскажет врач в видео:

Свою популярность ультразвуковое исследование получило за счет таких преимуществ, как неинвазивность (не нужно проникать внутрь организма), безболезненность, безопасность, доступность по цене, широкая распространенность.
Вопрос-ответ
Как проводится УЗИ мошонки у мужчин?
Пациент ложится на спину на кушетке. Половой член аккуратно фиксируется на животе, чтобы обеспечить свободный доступ к мошонке. На мошонку наносится специальный проводящий гель, который обеспечивает лучший контакт ультразвукового датчика с кожей и улучшает качество изображений.
Что нужно делать перед УЗИ мошонки?
Как нужно готовиться к УЗИ мошонки? От пациента не требуется подготовки, кроме соблюдения гигиены половых органов. Если вам назначили допплерографию органов мошонки, стоит воздержаться от сигарет за час до процедуры. Никотин вызывает сужение сосудов, что может повлиять на точность исследования.
Нужно ли снимать трусы при УЗИ мошонки?
Как проходит УЗИ мошонки? Специальная подготовка к исследованию не требуется. Поскольку орган наружный, нет необходимости ни в половом покое, ни в специальной диете. Исследование проводится в положении лежа, пациент должен снять брюки и нижнее белье.
Как подготовиться к УЗИ яичек у мужчин?
Никакой особой подготовки от мужчин перед УЗИ яичек не требуется. Достаточно провести обычные гигиенические процедуры перед походом в клинику. Отдельно стоит вопрос о депиляции в области половых органов. Наличие или отсутствие волос не оказывает никакого влияния на точность исследования.
Советы
СОВЕТ №1
Перед проведением УЗИ органов мошонки рекомендуется избегать физической активности и перегрева в течение 24 часов. Это поможет получить более точные результаты, так как активные нагрузки могут повлиять на состояние сосудов и тканей.
СОВЕТ №2
Не забудьте сообщить врачу о любых симптомах или проблемах, которые вас беспокоят, таких как боль или отек. Это поможет специалисту более точно интерпретировать результаты УЗИ и назначить необходимое лечение.
СОВЕТ №3
При подготовке к УЗИ старайтесь избегать употребления алкоголя и наркотиков за несколько дней до процедуры. Эти вещества могут повлиять на состояние организма и, как следствие, на результаты исследования.
СОВЕТ №4
После проведения УЗИ обязательно обсудите результаты с врачом. Он сможет объяснить, что означают полученные данные, и при необходимости назначить дальнейшие обследования или лечение.



